

















































































































































Akvaryum Balıkları Neden Ölür? Akvaryum Balıklarının Ömrünü Uzatmak
Akvaryum Balıkları: Evinizi Su Altı Cennetine Dönüştürecek En Canlı 10 Tür
Bichon Frisé (Bişon Çuha) Köpek Irkı Özellikleri, Bakımı ve Beslenmesi
Kilolu Köpekler İçin 5 Egzersiz Önerisi
Kediler Taşıma Çantalarına Nasıl Alıştırılır?
Beslenmeden davranışlara kadar, evcil dostunuzun yaşamına dair detayları keşfedin.
Tüm Blog YazılarıMerak ettiklerini sor, dostlarımızla yaşayanlar cevaplasın.
Merhaba kedi köpüklü ve yapış yapış şekilde yediği yemeği kusuyor 5-6 gün oluyor, yediği mideye gidip olduğu gibi dışarı çıkıyor ağzından ve o sırada öğürüyordu.
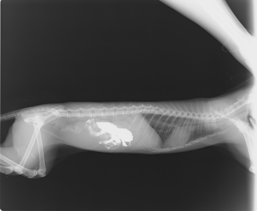
Dün ve bu gün onu başka bir doktor yanına götürdüm, röntgen çekdiker dün ve bu gün yine aynı şekilde röntken ve ultrason çekildi kedinin karnına. (Röntgen resmini aşağıya atıyorum)
Doktor bana röntgende yabancı bir cisim gözüktüğünü ve yarın ameliyat için oraya götürmemi istedi, yarın yeniden röntgen çekip ameliyat yapmak istiyor.
Ben röntgeni her daim kediyi götürdüğüm doktora gösterdiğimde bana açık bağırsak ameliyatının riskli olduğunu kediye zarar dahi verilebilir bu ameliyatla diye söyledi. Bu doktor daha çok FİP ten şüphelendiğini söyledi bana, kedinin mide borusununda fazla normalden fazla genişlendiğinjde söyledi. Bu gün kediye iğne yaptı ve yarın yeniden gelmemi söyledi. Eve döndükten sonra kedi röntgen çektirdiğimiz klinikte tabaşir yutmuştu onu kustu daha sonra ona yemek verdim suyla karıştırarak onu kusmadı.
Açık bağırsak ameliyatı riskli bir ameliyat mı?
Geçmiş olsun.
Kusan kedide her şey alt üst çıkar. Ne bağışıklık düzgündür. Ne üre ne de başka bir şey düzgün görülür…
Her ameliyatın riski var.
Tıkanıklık neredeymiş söylediler mi? Sanırım mideyi biraz geçmiş bağırsakta ilerlemiyor o sıvı.
Mide kasıldığında, çıkışa gidemiyor ve yediğini ters olarak ağızdan çıkartıyor.
Benim beyaz olan kedim, zeytin yutmuştu. Maalesef tüm bağırsakları eleyerek gittiler. Sonunda bulup cismi çıkarttılar. Zor bir ameliyat ama çözerler mersk etmeyin.
Ancak kedinize baryum içirmişler sanırm. Beyaz görünen madde o. O temizlenmeden alabiliyorlar mıymış ameliyata?
Hayati risk varsa bu zorluğu gözardı edecekler sanırım.
Cismin ne olduğunu biliyor musunuz. Ya da tahmin ediyor musunuz. Tüy mü, yabancı cisim mi. Nerede? Bunlar çok önemli.
Bir an önce Karar vermelisiniz. Böyle giderse gün geçtikçe güç kaybedecek ve her şey zorlaşacak. Sonucu bize de yazın lütfen.
Teşekkür ederim, tüy değilde ince ipe ben,er bir şey olduğunu söyledi resimde o beyaz görünen gölgenin alt kısmında aslında gözüküyor.
Kedinin burnu tıkalı gibi ve bedeninden sesler geliyor sanki gece uyurken mesela inliyormuş gibi bir ses çıkarıyor.
Bir doktor getir ameliyat edelim diyor ve çok pahalı diğer doktor FİP olabilir ve o röntgende görülen şeyin büyüyk olmadığını ve kediye zarar vermeyeceğini söylüyor. Ne yapacağımı bilmiyorum, kedinin koronası pozitif çıkmıştı haftalar önce 6 gün omu serum ve iğneyle FPV virüsüne karşı tedavi ettiler, kedinin iyileştiğini düşündük eve getirdikten sonra 2 gün sonra böyle oldu ilk önceleri öğürerek daha sonra kusmaya başladı.
Soruya cevap yazabilmek için üye girişi yapmalısınız.
Uzmanlardan ve diğer üyelerden faydalı cevaplar almak için:
Yeni Soru SorOnaylı Yem Deposu Sertifikası
Şikayet göndermek için bir sebep seçmelisiniz.
gönderiliyor...
Teşekkürler!
Şikayetiniz başarıyla gönderildi, en kısa zamanda inceleyeceğiz.